Opšta stomatologija
Za lečenje bolesti zuba kao sto su karijes, oštećenja krunice zuba i oboljenja pulpe zuba (pulpitis i gangrena), primenjujemo najsavremenije i najkvalitetnije materijale i aparate.
Materijal našeg izbora za restauraciju kruničnog dela zuba je kompozitni materijal Tetric Evo Ceram i Tetric Prime, renomiranog proizvodjača Ivoclar Vivadent iz Lihtenštajna. Ovaj kompozitni materijal pored svojih izuzetnih mehaničkih svojstava, poseduje odlična estetska svojstva, medju kojima se ističe kameleon efekat koji daje restauriranom zubu jasniju i bolju transparenciju sličnu prirodnoj gleđi i dentinu zuba.
U ordinaciji Implantix izradjujemo i kompozitne vinire direktnom metodom, kao i izradu kompozitnih vinira korišćenjem najnovije tehnike injektiranja.
Estetska stomatologija
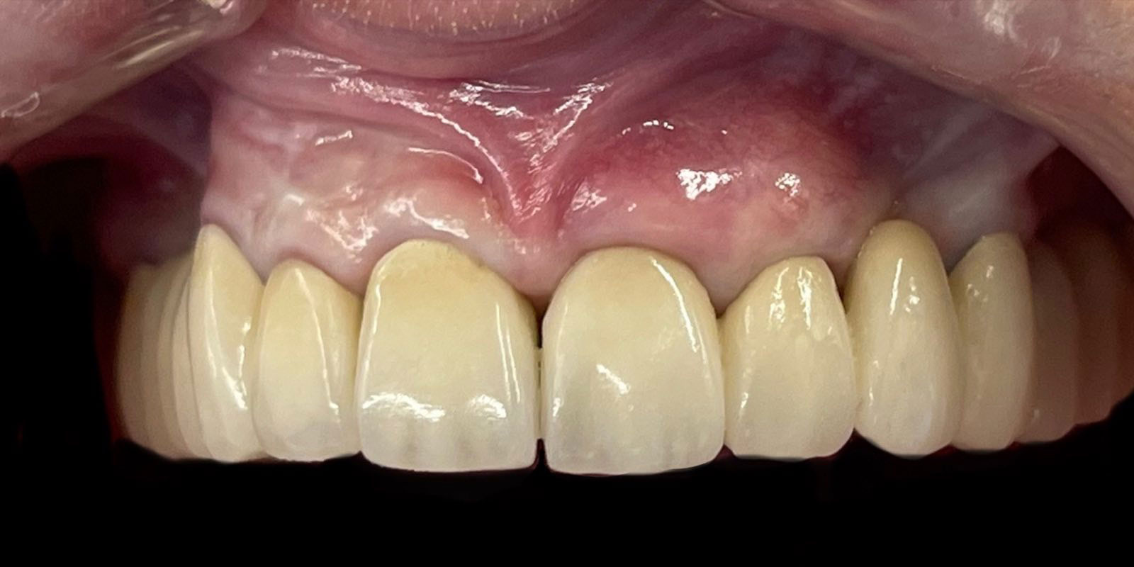
Pacijentima koji žele lepši izgled svojih zuba možemo da ponudimo beljenje zuba visokokvalitetnim materijalima uz primenu LED lampe koja ubrzava reakciju beljenja i sprečava post operativnu osetljivost zuba. Za pacijente koji pored nezadovoljavajuće boje zuba, imaju i zube koji su oštećeni, primenjujemo vinire – keramičke ili kompozitne ljuspice, čime se postiže nov i prirodno beo izgled. Svetlija boja zuba i savršena estetska forma zuba postiže se postavljanjem keramičkih vinira na vidljivu površinu zuba.
Stomatološka protetika
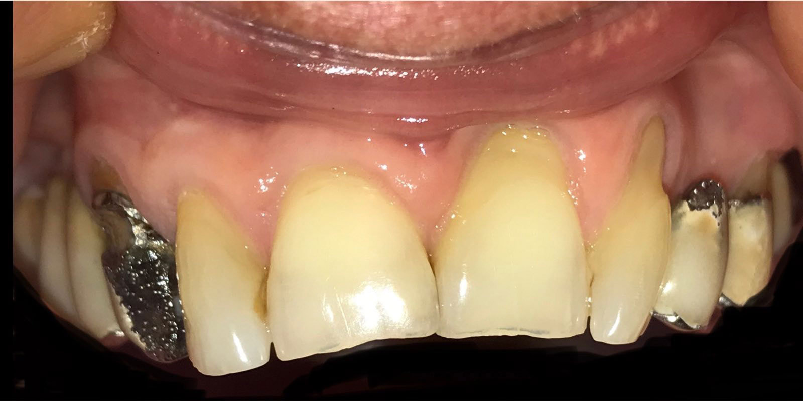
Nedostatak jednog ili više zuba za pacijenta predstavlja ne samo funkcionalni nego i estetski problem. Kako bi našim pacijentima vratili osmeh na lice, ordinacija Implantix se bavi izradom svih vrsta zubnih nadoknada, primenjujući najsavremenije i najkvalitetnije metode i materijale.
U skladu sa Vašim stanjem zuba, nakon detaljnog plana, ponudićemo Vam optimalno rešenje. Naša ordinacija radi totalne i parcijalne proteze, kombinovane fiksno-mobilne radove, metalokeramičke i bezmetalne (cirkonijum i litijum disilikat) krunice i mostove, minimalno invazivne keramičke nadoknade kao što su fasete (eng. veeners), inleje, onleje, kao i različite protetske radove na implantima. Posebno smo specijalizovani u oblasti estetske stomatologije.
Rezultat našeg rada je Vaš savršen osmeh.
Implantologija
Kao napredno rešenje problema nedostatka zuba, našim pacijentima pružamo uslugu ugradnje dentalnih implantata. Implantat se ugradjuje u viličnu kost i zamenjuje prirodni koren zuba, na koji se postavlja veštačka krunica. Ovo rešenje je najbolje u slučajevima kada nedostaje pojedinačni zub, ali i u kliničkim slučajevima kada nedostaje više zuba ili kod bezubih pacijenta.
Procedura ugradnje implantata je potpuno bezbolna i radi se u lokalnoj anesteziji.
U ordinaciji Implantix koristimo implantate renomiranih švajcarskih proizvodjača.
Oralna hirurgija
Oralna hirurgija je oblast stomatologije koja se bavi hirurškim lečenjem oboljenja zuba i vilica. Najčešća intervencija iz ove oblasti je hirurško vađenje neizraslih zuba, najčešće umnjaka u donjoj i gornjoj vilici. Resekcija vrha korena zuba kao i operativno uklanjanje ciste na vrhu korena zuba predstavlja hirurški postupak koji će sačuvati zub. Uklanjanje sluzokožnog nabora, resice gornje i donje usne kao i uklanjanje resice kod smanjene pokretljivosti jezika takođe predstavljaju oblast rada oralnog hirurga.
Parodontologija
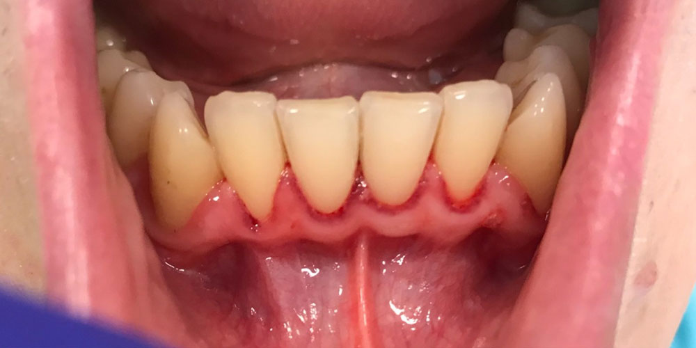
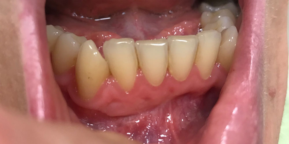
Parodontologija je oblast stomatologije koja se bavi oboljenjima i lečenjem potpornog aparata zuba.
Krvarenje iz desni, njihovo pomeranje, a kasnije i prekomerno klaćenje zuba, simptomi su oboljenja koje se naziva paradontopatija. Ukoliko se ovo oboljenje pravovremeno ne tretira dolazi do gubitka čak i zdravih zuba.
Osnovne mere koje se primenjuju u lečenju parodontopatije jesu pravilna oralana higijena kao i edukacija o pravilnoj tehnici i sredstvima koje pacijenti treba da primenjuju kako bi sprečili nastanak i komplikacije parodontopatije. U slučaju pojave komplikacija parodontopatije, primenjuje se konzervativna i hirurška terapiju. Preprotetska parodontološka priprema podrazumeva sve tehnike koje će uticati da nadoknada zuba bude dugotrajnija kako sa estetskog aspekta tako i sa aspekta sprečavanja napredovanja parodontopatije.
Maksilofacijalna hirurgija
U ordinaciji Implantix možete obaviti konsultativni pregled maksilofacijalnog hirurga ukoliko imate tegobe u vidu otoka na vratu i licu, probleme sa bolnim otvaranjem usta kao i bolovima u regiji lica i vrata.
Beljenje zuba
Dentalno beljenje zuba je procedura koja pripada estetskoj stomatologiji. Postoje spoljašnji i unutrašnji etiološki faktori koji dovode promene boje zuba, a to su: konzumiranje duvana, kafe, hrane sa veštačkim bojama, neki lekovi zatim akumulacija dentalnog plaka koji je bogat hromogenim bakterijama…
Uzroci prebojenosti zuba mogu biti nekroza pulpe zuba, trauma , fluoroza , tetraciklinski antibiotici uzimani u periodu mineralizacije zuba , kao i kongenitalna oboljenja dentinogenesis i amelogenesis imperfekta.
Materijali koji se primenjuju u okviru ove procedure poseduju u sebi jedinjenje vodonik peroksida (karbamid peroksid, hidrogen peroksid) od 10-16% za kućnu primenu i od 30-40% koncentraciju za ordinacijsku primenu. Proces beljenja potpomognut je primenom LED lampe u cilju sprečavanja pojave prekomernog zagrevanja dentinskog tkiva kao i ubrzavanje reakcije beljenja.
U toku primene ordinacijskog i kućnog izbeljivanja moze doći do reverzibilne (prolazne) preosteljivosti zuba.
Boja zuba:
Pigmentni molekuli koji definisu boju zuba sačinjeni su od ugljenovodoničnih lanaca koji su ugradjeni u strukturu zuba. Oni apsorbiju svetlosne zrake više nego sto ih reflektuju i na taj način čine zub tamnije boje.
Mehanizam izbeljivanja:
Delovanjem vodonik peroksida na organsku komponentu zuba (dentina) dolazi do razdvajanja makromolekula na manje molekule i do oslobadjanja vodonika. Hemijska reakcija menja tip ugljovodonicnih lanaca, menja broj molekula i polozaj atoma. Maksimalni efekat beljenja zuba postize se kada se dobije maksimalan najmanji broj tih molekula. On nije zavistan od metode i materijala koliko od samog kvaliteta dentina i gledji.
Beljenje zuba ulepšava osmeh, ali veoma često izaziva osetljivost zuba na hladne i kisele nadražaje. Pacijentima koji žele lepši osmeh, beljenje zuba u ordinaciji Implantix vršimo specijalnim materijalima koji će mogućnost pojave osetljivosti zuba svesti na minimum.
Kontraindikacije za proces beljenja zuba jesu recesije zuba, erozije, abrazije zuba, zatim trudnoća i deciji uzrast.
Nakon beljenja nije preporučljivo konzumirati duvan, kafu, namirnice koje sadrže jake veštacke boje, kao i namirnice koje sadrže jak crveni pigment.
Ortodoncija
Ortodoncija se bavi dijagnostikovanjem, prevencijom i ispravljanjem loše postavljenih zuba i okolnih struktura. Nakon kliničkog pregleda, detaljne analize rentgen snimaka i svih eventualno potrebnih dodatnih dijagnostičkih mera, donosi se plan ortodontske terapije i pacijentu preporučuje odgovarajući vid terapije.
Terapijske mogućnosti kod dece u pubertetskom razvoju veće su nego kod pacijenata koji su završili s rastom. Kod odraslih pacijenata moguće je ortodontski ispravljati zube, kako bi sprečili okluzalnu traumu, oboljenja potpornog aparata zuba i nastanak oboljenja temporomandibularnog zgloba. Ortodontski pregledi moraju se obavljati periodično zbog rasta i razvoja deteta, kao i zbog stalnih promena koje se odvijaju u toj dobi, posebno ako dete nosi ortodontski aparat. Dužina terapije zavisi od raznih faktora i traje u većini slučajeva oko dve godine.
Kontrole se zakazuju u razmacima od 4 do 6 nedelja, a nakon završene terapije nose se retencioni aparati, koji sprečavaju vraćanje ortodontske neprevilnosti.
Ortodontski aparat može biti:
Mobilni ortodontski aparat
Fiksni ortodonski aparat
Fiksni estetski ortodontski aparat
Dečija i preventivna stomatologija
Kod najmladjih pacijenata, trudimo se da ostvarimo odnos pun poverenja, kako bi bez straha dolazili u stomatološku ordinaciju. Sve intervencije su bezbolne.
Stomatološke intervencije iz oblasti dečije stomatologije se sastoje u obuci o pravilnoj oralnoj higijeni; potom u prevenciji, profilaksi i ranoj dijagnostici i lečenju karijesa; vadjenju mlečnih zuba; ranoj dijagnostici ortodontskih nepravilnosti.
Usvajanjem zdravih navika u ishrani i dobroj oralnoj nezi zuba, kao i stvaranjem navike za redovne stomatološke preglede, doprinosimo opštem zdravlju naših najmladjih pacijenata.